FAG Aktuelt

Histologi: Fürst først ute med snittrobot
- Kvaliteten på snittene er blitt bedre og laboratoriedriften mer effektiv, hevder Einar Pedersen Svartsund.
Av GRETE HANSEN, journalist
De manuelle mikrotomene er ikke historie ved Fürst riktig ennå, men de kan bli det. Per i dag snittes om lag halvparten manuelt, men erfaringene med den nye snittroboten er så gode at laboratoriet vurderer å anskaffe enda en, forteller Einar Pedersen Svartsund, bioingeniør og avdelingsleder for laboratorievirksomheten ved Fürst medisinsk laboratorium i Oslo.

Den 1,5 tonn tunge og ganske så omfangsrike roboten ser da også imponerende ut (for innforståtte: det er en AS410M).
360 blokker per dag
Bioingeniørene Frida Engstrøm og Trond Are Rokseth viser stolt fram nyinnkjøpet. Det er Engstrøm som har hatt hovedansvaret for innkjøringen – med god hjelp av Rokseth.
- Vi tilbrakte to uker med en japansk spesialist og tolken hans i fjor høst. Da lærte vi det mest grunnleggende, forteller hun.
Gjennom sotete glass kan vi faktisk skimte arbeidsprosessene som foregår i roboten – ingen skjult agenda her. Maskindeler av stål, glass og plast sørger for at prosessen går riktig for seg, – fra blokken plasseres under en berøringssensor som måler høyde og vinkel – til kameraet tar bilde av det ferdige snittet (for å sjekke at det er uten feil).
- Maskinen kan ta 96 blokker per kjøring, og siden hver blokk tar opp mot tre minutter, vil en full kjøring vare i fire – fem timer, forklarer Engstrøm. Hun forteller at bioingeniørene på patologilaben jobber både dag- og kveldsvakter, og at de kan rekke fire fulle kjøringer på en arbeidsdag – altså rundt 360 blokker.

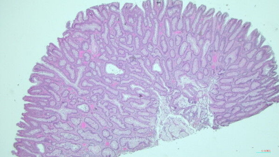
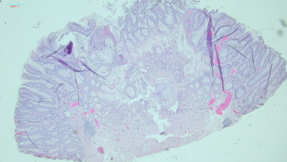
- Foreløpig kjører vi bare 200, hovedsakelig humane prøver fra tarm, men også prøver fra fisk.
Fürst analyserer nemlig prøver fra oppdrettsindustrien – i tillegg til de humane prøvene som hovedsakelig kommer fra allmennpraktiserende leger og fra spesialistsentre.
- I de siste årene har de humane prøvene dreid seg fra flest hudprøver til et økende antall prøver fra mage/tarm, forklarer avdelingsleder Svartsund.
Gode erfaringer så langt
Bakgrunnen for histologiinnvesteringen er en prosess Fürst startet allerede i 2015. Målet var å forbedre kvalitet, svartid og ressursutnyttelse for hele bedriften, og en ny organisering av patologilaben var ett av tiltakene. Flere veier til målet ble vurdert, blant annet automatinnstøping og hurtigframføring, men på Fürst fant man ut at det var mest å hente på å automatisere snittprosessen.
Maskinen ble kjøpt inn og etter noen måneders testing kunne bioingeniørene starte automatisk snitting i februar i år.
- Som første laboratorium i Norge, hevder Svartsund.
Og erfaringene så langt er altså gode. Svartsund lister opp:
- Kvaliteten på preparat og fargeresultat er blitt bedre.
- Driften på laboratoriet er blitt mer effektiv.
- Effektiviteten til patologene har økt.
- Vi ser også at samarbeidet mellom bioingeniører og patologer har utviklet seg og at sykefraværet er blitt lavere siden forbedringsprosjektet startet i 2015, sier Svartsund.
Målet er at 70 prosent av alle histologiske prøver skal besvares innen sju dager, forteller han. Etter at roboten ble tatt i bruk, er gjennomsnittlig svartid så langt gått ned fra 7,5 til 6,7 dager.


Arbeidsmiljøeffekt
Ying Chen, medisinsk direktør i Fürst siden høsten 2020 - og tidligere leder av Den norske patologforening, bekrefter at kvaliteten er bedret. Snittene er nå standardiserte og på grunn av god snittkvalitet er det lettere å stille riktig diagnose.
Hun forteller at omleggingen også har hatt en arbeidsmiljøeffekt. Manuell snitting er nemlig et belastende arbeid som kan gi vonde skuldre.
Bioingeniør Engstrøm er enig:
- Nå grovsnitter vi bare – og så er det opp å bevege seg og gjøre andre ting. Arbeidet er blitt mer variert, sier hun - og tilføyer:
- Det har dessuten skjedd noen stygge kuttskader med manuelle mikrotomer opp gjennom årene. Det slipper vi nå.
Fiskeprøver og humane gastroprøver
Bioingeniørkollegene Engstrøm og Rokseth har tilbrakt utallige timer ved snittroboten de siste månedene, blant annet for å validere den.
- Vi gikk en omvei via grisetarm og sammenliknet manuelle snitt med automatsnitt. Patologene var som sagt veldig fornøyde, forteller hun.
- I starten gjorde vi riktignok en del begynnerfeil, men etter noen uker hadde vi lært - og feilene ble stadig færre, sier Rokseth.
- Og skulle noe likevel feile, stopper maskinen automatisk, sier Engstrøm – og innrømmer samtidig:

- I starten var jeg redd for at roboten rett og slett skulle snitte bort vevet, men det skjedde jo selvsagt ikke.
Foreløpig benyttes maskinen til fiskeprøver og humane gastroprøver, men når sommerroen forhåpentligvis senker seg over laben, skal Engstrøm og Rokseth teste andre organer også.
De er enige om at snittroboten er et godt tilskudd til laboratoriet. Foreløpig kan bare fem av bioingeniørene bruke den, men det skal endres til høsten. Flest mulig skal læres opp, forteller de.

Velkommen til Fürst!
Medisinsk direktør Chen forteller at man på Fürst er opptatt av å følge med i fagutviklingen og satse på ny teknologi. Fürst har da også fått henvendelser fra flere patologilaboratorier som ønsker å komme på besøk for å ta snittroboten i øyesyn.
- Og det skal de få lov til. Vi skal ha en åpen kultur hvor man lærer fra hverandre. Da er det viktig med et positivt samarbeidsklima på tvers av utdanning, spesialiteter og organisatorisk tilhørighet. Det må være lave barrierer for faglige diskusjoner og samarbeid både internt og eksternt, sier hun.