FAG Aktuelt

Vil lege laksens vintersår

Bioingeniør Hege Smith Tunsjø (34) har lenge vært fascinert av bakterier og infeksjonssykdommer. Men det var tilfeldigheter som førte henne til Norges veterinærhøgskole, hvor hun nå er i ferd med å fullføre en doktorgrad på bakterier som gir alvorlig sykdom hos oppdrettsfisk.

Publisert Sist oppdatert

- Vi driver med både grunnforskning og anvendt forskning, sier Tunsjø.
Forhåpentligvis vil teamet hun er en del av levere resultater som kan bidra til bedre vaksiner og færre sykdomsutbrudd i oppdrettsanleggene.

Stygge sår
Sykdommen vintersår rammer oppdrettslaks, oppdrettsørret og oppdrettstorsk, og kan gi store tap. Hvis fisken overlever utbruddet, har den arr og får dårligere kvalitetsvurdering når den skal slaktes og sendes ut på markedet. Det finnes en vaksine, men den har frem til nå ikke vært optimal. Bedre kunnskap om bakterien Moritella viscosa, som forårsaker sykdommen, kan redusere næringens tap og spare fisken for lidelser.
Som doktorgradsstipendiat på Norges veterinærhøgskole har Tunsjø tilbragt de siste årene med å fordype seg i vintersårbakterien og en annen fiskesykdomsskapende bakterie av Vibrio-familien – Vibrio salmonicida – som gir kaldtvannsvibriose, også kjent som Hitrasyken. Kaldtvannsvibriose arter seg som en hemoragisk septikemi.
De to bakteriene er psykrofile (kuldeelskende), og når temperaturen synker, kan de forårsake sykdom hos fisk. Det er flere mulige forklaringer på sammenhengen mellom temperatur og sykdom; fiskens immunforsvar kan være noe svekket, bakteriene er mer stabile eller bakterienes sykdomsfremkallende evner blir større.
Oppdrettsnæringens erfaring er at vintersårene rammer fisken når det er under sju grader i vannet. De nordligste fylkene har de største tapene.

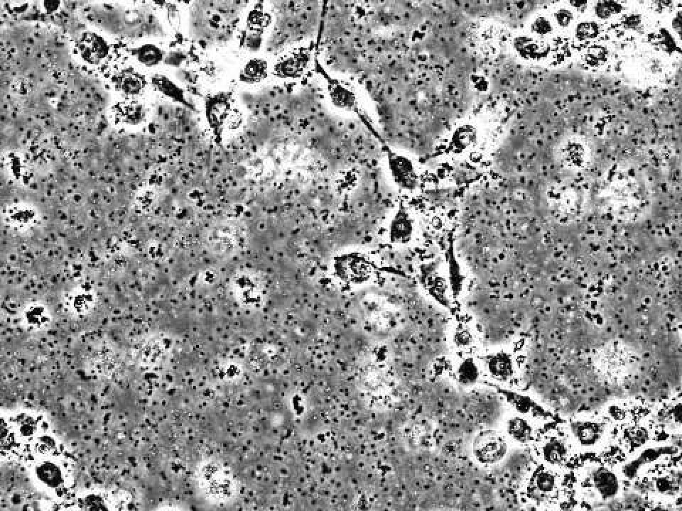
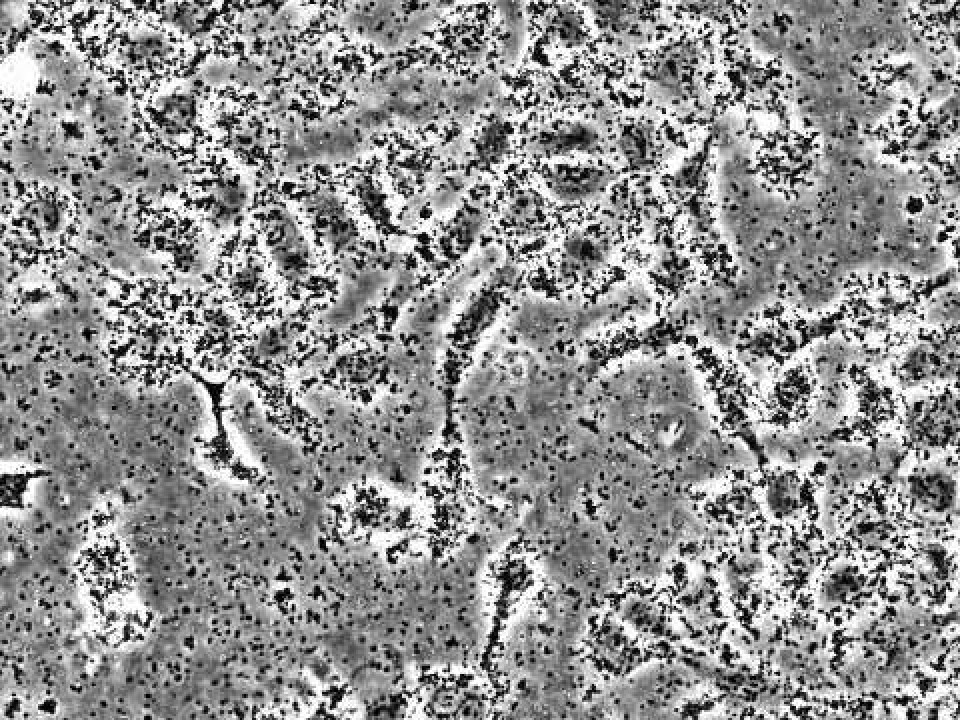
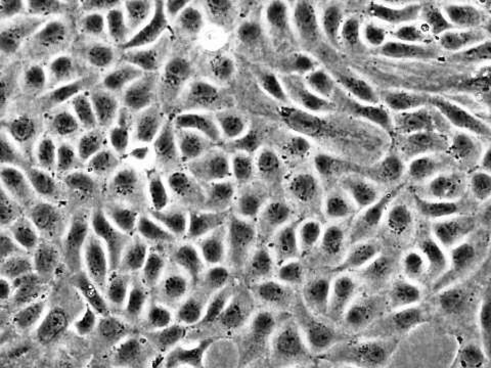
Slik ser det ut når lakseceller blir smittet med Moritella viscosa. Det første bildet viser cellene før infisering. Det neste bildet er tatt to timer etter infiseringen og det siste er tatt etter åtte timer. Først fester bakteriene seg til cellene, etter hvert foråsaker de celledød. Foto: Hege Smith Tunsjø

Mutanter og cellemodeller
På laboratoriet har Tunsjø lakseceller som kanskje kan gi nye små biter til det store puslespillet.
Hun vil fjerne et gen hos vintersårbakterien som hun tror kan ha betydning for virulensen, så vil hun infisere laksecellene med den modifiserte bakterien. Slik leter hun etter gener som gir bakterien dens evne til å skape sykdom. Det er nyttig kunnskap i kampen mot vintersår.
- Vi vet for lite om hvordan marine Vibrio-bakterier responderer på forskjellige faktorer i akvakulturmiljøet og i fiskeverter, sier Tunsjø.
Det er derfor gruppen også studerer Vibrio salmonicida. Den førte tidligere til høy dødelighet, men ifølge forskningskonsernet Nofima Marin (tidligere Fiskeriforskning) har utviklingen av effektiv vaksine eliminert det problemet.
Universitetet i Tromsø har nylig kartlagt hele genomet – all arvestoffinformasjon – til Vibrio salmonicida. Forskergruppen Tunsjø er med i bruker denne informasjonen til å finne ut hvilke gener som påvirker bakteriens trivsel, vekst og utvikling av sykdom i verten.
Slik detaljert kunnskap om kjente sykdomsskapende bakterier kan nemlig være til hjelp når man skal utvikle strategier mot nye sykdommer og sykdommer hos nye arter det skal drives oppdrett av.

Se bildetekst over

Fra menneske til fisk
Etter endt bioingeniørutdanning på Høgskolen i Oslo midt på 90-tallet, førte interessen for patogene bakterier Tunsjø til jobb på mikrobiologisk avdeling ved det daværende Sentralsykehuset i Akershus (SiA).
- Der fikk unge og ivrige ansatte svært store utviklingsmuligheter, forteller hun.

Se bildetekst over

Tunsjø fikk blant annet støtte til å ta en mastergrad i klinisk mikrobiologi ved Griffith University i Brisbane i Australia.
Da hun bestemte seg for å ta doktorgrad, forsøkte hun i utgangspunktet å bli på sykehuset som nå hadde skiftet navn til Ahus.
- Men det er pengene som styrer. Med de midlene vi kunne få, ville det tatt for lang tid å bli ferdig med doktorgraden, sier hun.
Løsningen ble stipendiatstillingen på Veterinærhøgskolen. Dermed måtte Tunsjø omstille seg fra menneskesykdommer til ”fiskebakterier”.
Hun anbefaler andre som måtte stå overfor et lignende valg til å ta spranget til et nytt fagmiljø.
Og bakterier er bakterier – enten de lever i fisk eller folk.
Forskningen hennes medfører mye laboratoriearbeid. Noe kan sammenlignes med det hun gjorde på sykehuset. Men sykehusarbeidet var mer diagnoserettet. Nå eksperimenterer hun.
- Vi bruker for eksempel ikke PCR til å finne ut om fiskecellene er smittet, det vet vi jo. Vi bruker PCR for å undersøke bakteriens genuttrykk/RNA under forskjellige forhold, sier hun.

Dyrevern
Tunsjø har også vært involvert i et arbeid med å finne smitteveien for vintersår. Det krevde forsøk på levende fisk.
I forsøkene bruker hun i størst mulig grad fiskeceller som er dyrket frem i laboratoriet. Men disse cellemodellene kan aldri fullt ut simulere prosessene i en levende fisk. Samtidig tilsier dyrevernhensyn at man begrenser bruken av forsøksdyr.
- Vi legger vekt på å finne alternativer til dyreforsøk. Men når jeg har testet hypotesene mine og har stor tro på noe, må det til slutt gjøres smitteforsøk på fisk. Så jeg ser nødvendigheten av å gjøre forsøk på levende dyr, men vi bør nok begrense det enda mer enn i dag. Man bør ha en veldig god hypotese før man gjør disse forsøkene, sier Tunsjø.

En terskel
Hun mener bioingeniører har en bakgrunn som kan gjøre dem til gode forskere.
- Vi kan laboratoriearbeid og har gode rutiner. Det er en kjempefordel. Arbeidserfaring er nyttig å ha før man skal ta doktorgrad, mener hun.
Men forskere skal ikke bare teste hypoteser, resultatene skal også formidles.
- Publisering er viktig, særlig hvis man har konkurrenter. Hvis en konkurrent publiserer før meg, kan jeg miste muligheten til å formidle resultatene mine i vitenskapelige tidsskrifter, sier hun.
I begynnelsen var skrivingen av vitenskapelige artikler en terskel.
- Jeg visste lite om hvordan det skulle gjøres og brukte lang tid første gang. Nå går det lettere, jeg er blitt mer og mer glad i å skrive, sier hun.
Så langt har prosjektet resultert i tre artikler og flere er på trappene. Hvis alt går etter planen, er hun ph.d. til sommeren.

Fascinerende bakterier
- Etter det har jeg lyst til å konsentrere meg mer om planleggings- og formidlingsdelen av forskningen og jobbe mindre på laboratoriet. Men jeg vil heller ikke gi helt slipp på laboratoriearbeidet.
Tunsjø er ikke opptatt av om hun skal jobbe innen dyre- eller menneskehelse. Det viktigste er at hun får konsentrere seg om bakterier og infeksjoner.
- Bakterier er selvstendige vesener. De kan tilpasse seg og har evne til å endre seg raskt. De kan både være til fordel for verten eller de kan skape sykdom. De opptrer både alene og i samfunn. Bakterier har mange ansikter – det er det fascinerende ved dem, sier Tunsjø.

Powered by Labrador CMS